Résonance Magnétique Fonctionnelle

En 1993, l'IRMf (imagerie par résonance magnétique fonctionnelle) était mentionnée moins de 20 fois dans les articles publiés. En tant que nouvelle technique, elle s'est développée rapidement et en 2003, ce nombre était d'environ 1800 (Berman et al. 2006). Introduite pour la première fois dans les années 1990, l' IRMf est utilisée pour cartographier le cerveau en fournissant des neuroimages en 3D montrant les zones d'activité. Alors, comment fonctionne l'IRMf ? Comment fournissent-ils des images détaillées du cerveau et du corps ? Et comment pouvons-nous acquérir des connaissances sur les fonctions grâce aux appareils d'IRM ?

C'est parti

Des millions de fiches spécialement conçues pour étudier facilement

Inscris-toi gratuitement
  • + Add tag
  • Immunology
  • Cell Biology
  • Mo

Lequel des énoncés suivants est correct ?

Afficer la réponse
  • + Add tag
  • Immunology
  • Cell Biology
  • Mo

L'IRMf a été introduite pour la première fois sur le site ____.

Afficer la réponse
  • + Add tag
  • Immunology
  • Cell Biology
  • Mo

L'IRMf produit des images ___ du cerveau.

Afficer la réponse
  • + Add tag
  • Immunology
  • Cell Biology
  • Mo

Le flux sanguin vers une zone active du cerveau est généralement ______.

Afficer la réponse
  • + Add tag
  • Immunology
  • Cell Biology
  • Mo

Vrai ou faux : Une activation neuronale plus importante dans le cerveau nécessite plus d'oxygène, et l'imagerie BOLD détecte le flux sanguin et les niveaux d'oxygène pour en déduire les niveaux d'activité.

Afficer la réponse
  • + Add tag
  • Immunology
  • Cell Biology
  • Mo

Vrai ou faux : Le sang dont la concentration en oxygène est plus élevée est affecté différemment par les champs magnétiques que celui dont la concentration en oxygène est plus faible.

Afficer la réponse
  • + Add tag
  • Immunology
  • Cell Biology
  • Mo

Vrai ou faux : Rien ne prouve que les régions du cortex visuel humain répondent spécifiquement et sélectivement aux visages.

Afficer la réponse
  • + Add tag
  • Immunology
  • Cell Biology
  • Mo

Vrai ou faux : La formation à l'utilisation d'une IRMf peut être coûteuse.

Afficer la réponse
  • + Add tag
  • Immunology
  • Cell Biology
  • Mo

Vrai ou faux : Les patients, si on leur pose une question, devraient répondre intérieurement plutôt qu'à voix haute pour éviter d'activer différentes zones du cerveau lors d'une IRMf.

Afficer la réponse
  • + Add tag
  • Immunology
  • Cell Biology
  • Mo

Lequel des énoncés suivants est correct ?

Afficer la réponse
  • + Add tag
  • Immunology
  • Cell Biology
  • Mo

L'IRMf a été introduite pour la première fois sur le site ____.

Afficer la réponse
  • + Add tag
  • Immunology
  • Cell Biology
  • Mo

L'IRMf produit des images ___ du cerveau.

Afficer la réponse
  • + Add tag
  • Immunology
  • Cell Biology
  • Mo

Le flux sanguin vers une zone active du cerveau est généralement ______.

Afficer la réponse
  • + Add tag
  • Immunology
  • Cell Biology
  • Mo

Vrai ou faux : Une activation neuronale plus importante dans le cerveau nécessite plus d'oxygène, et l'imagerie BOLD détecte le flux sanguin et les niveaux d'oxygène pour en déduire les niveaux d'activité.

Afficer la réponse
  • + Add tag
  • Immunology
  • Cell Biology
  • Mo

Vrai ou faux : Le sang dont la concentration en oxygène est plus élevée est affecté différemment par les champs magnétiques que celui dont la concentration en oxygène est plus faible.

Afficer la réponse
  • + Add tag
  • Immunology
  • Cell Biology
  • Mo

Vrai ou faux : Rien ne prouve que les régions du cortex visuel humain répondent spécifiquement et sélectivement aux visages.

Afficer la réponse
  • + Add tag
  • Immunology
  • Cell Biology
  • Mo

Vrai ou faux : La formation à l'utilisation d'une IRMf peut être coûteuse.

Afficer la réponse
  • + Add tag
  • Immunology
  • Cell Biology
  • Mo

Vrai ou faux : Les patients, si on leur pose une question, devraient répondre intérieurement plutôt qu'à voix haute pour éviter d'activer différentes zones du cerveau lors d'une IRMf.

Afficer la réponse

Review generated flashcards

Inscris-toi gratuitement
Tu as atteint la limite quotidienne de l'IA

Commence à apprendre ou crée tes propres flashcards d'IA

Équipe éditoriale StudySmarter

Équipe enseignants Résonance Magnétique Fonctionnelle

  • Temps de lecture: 11 minutes
  • Vérifié par l'équipe éditoriale StudySmarter
Sauvegarder l'explication Sauvegarder l'explication
Inscris-toi gratuitement pour sauvegarder, modifier et créer des fiches.
Sauvegarder l'explication Sauvegarder l'explication
  • Contenu vérifié
  • Publié le: 18.06.2024
  • Temps de lecture: 11 min
Tables des matières
Tables des matières
  • Contenu vérifié
  • Dernière mise à jour: 01.01.1970
  • Temps de lecture: 11 min
  • Processus de création de contenu conçu par
    Lily Hulatt Avatar
  • de contenu vérifiées par
    Gabriel Freitas Avatar
  • Qualité du contenu vérifiée par
    Gabriel Freitas Avatar
Inscris-toi gratuitement pour sauvegarder, modifier et créer des fiches.
Sauvegarder l'explication Sauvegarder l'explication

Sauter à un chapitre clé

    • Nous allons explorer les appareils d'IRMf (imagerie par résonance magnétique fonctionnelle).
    • Tout d'abord, nous donnerons une définition de l'imagerie par résonance magnétique fonctionnelle.
    • Ensuite, nous nous plongerons dans le monde des scanners IRMf, en discutant de divers exemples et en décrivant le fonctionnement des appareils IRMf.
    • Nous aborderons brièvement les désactivations et les hypoactivations dans l'imagerie par résonance magnétique fonctionnelle.
    • Enfin, nous fournirons une évaluation des IRMf, en analysant les avantages et les inconvénients de l'imagerie par résonance magnétique fonctionnelle.

    Résonance magnétique fonctionnelle IRMf machine StudySmarterFig. 1 : Les appareils d'IRMf sont précieux en médecine¹.

    Définition de l'imagerie par résonance magnétique fonctionnelle

    Un appareil d'imagerie par résonance magnétique (IRM) utilise des champs magnétiques et des ondes radio pour obtenir un aperçu de l'intérieur du corps. Le patient est placé dans une machine en forme de tube qui utilise des électroaimants incroyablement puissants pour scanner le corps et le cerveau. Les résultats peuvent ensuite être utilisés par les chercheurs et les professionnels de la santé pour comprendre toute anomalie.

    Qu'est-ce que l' IRMf?

    L'imagerie par résonance magnétique fonctionnelle (IRMf) est une forme d'imagerie par résonance magnétique capable d'identifier les zones fonctionnelles en montrant les zones actives du cerveau. L'IRMf est capable de faire cela parce qu'elle peut détecter les changements de propriété du sang, qui sont alors liés à des zones actives ou sous-actives du cerveau.

    Comment fonctionne l'imagerie par résonance magnétique fonctionnelle?

    L'imagerie parrésonance magnétique fonctionnelle détecte les changements d'oxygénation du sang dans le cerveau, dont le flux est affecté par l'activité cérébrale. Lorsqu'une zone du cerveau est plus active parce que le participant ou le patient observé fait quelque chose, comme travailler à une tâche, ou à cause d'un dommage, le flux sanguin du cerveau augmente ou diminue en fonction de la demande en oxygène.

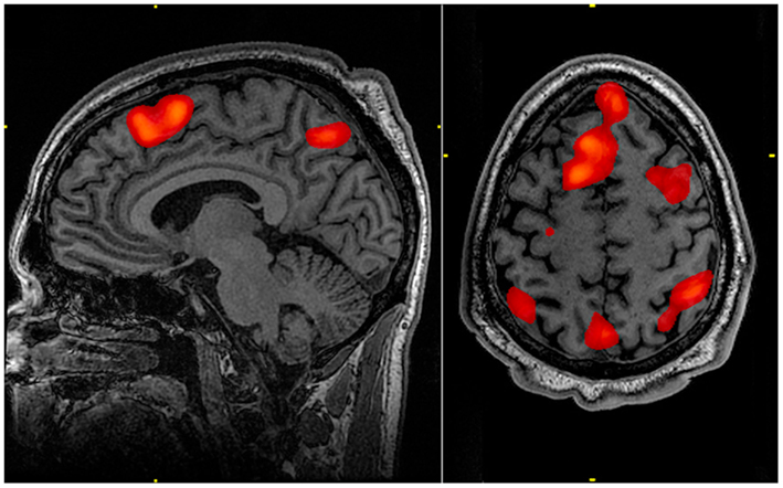
    Ce processus est appelé hyperactivation (plus) ou hypoactivation (moins). L'hyperactivation peut être détectée sur les IRMf lorsque des zones du cerveau sont surlignées en rouge et que l'hypoactivation est indiquée par des zones bleues.

    L'hémoglobine fournit de l'oxygène aux neurones. Lorsque ces neurones s'activent, l'activité accrue doit être équilibrée en fournissant l'oxygène et le flux sanguin nécessaires pour que cela soit possible, ainsi que de l'énergie sous forme de glucose.

    Les neurones ont aussi besoin d'énergie !

    Le sang dont la concentration en oxygène est plus élevée est affecté différemment par les champs magnétiques que le sang dont la teneur en oxygène est plus faible. Un champ magnétique IRMf peut détecter cela lorsqu'il scanne le participant ou le patient. C'est ce qu'on appelle le signal ou la théorie BOLD (Blood oxygenation level-dependent) et c'est principalement grâce à lui qu'une IRMf identifie les zones fonctionnelles.

    L'IRMf cartographie ensuite les zones activées à l'aide de voxels (lors de la création d'une image 3D du cerveau, une unité de voxel représente une minuscule portion de tissu cérébral dans l'image), produisant ainsi des images neuronales.

    Les zones mises en évidence sont des parties actives du cerveau.

    Par exemple, certaines zones du cerveau apparaissent lorsqu'une personne travaille sur une tâche de mémoire.

    Résonance magnétique fonctionnelle IRMf mémoire de travail StudySmarterFig. 2 : Un examen IRMf réalisé au cours d'une tâche de mémoire de travail révèle les zones actives du cerveau.

    Il est intéressant de noter qu'un participant ou un patient ne doit pas parler ou communiquer d'une autre manière lorsqu'il réfléchit à une tâche ou répond à une question. Ils doivent y répondre intérieurement pour éviter que le cerveau ne s'active dans d'autres zones.

    Supposons que le participant réponde à voix haute à une question concernant une tâche de mémoire. Dans ce cas, le cortex moteur (faire parler le corps et les muscles) et les zones du langage (zones de Broca et de Wernicke) pourraient s'activer et se désactiver, interférant avec les résultats.

    Si un participant travaille sur une tâche de mémoire, mais que d'autres zones du cerveau "s'allument" également, il serait presque impossible d'attribuer avec certitude une fonction à une zone du cerveau.

    En outre, lors de l'analyse des résultats, il serait difficile d'identifier les zones souffrant d'une perte fonctionnelle due à des dommages si d'autres parties du cerveau s'activent et se désactivent également au cours d'une tâche.

    Exemples de psychologie IRMf

    Un bon exemple de l'utilisation de l'IRMf dans la recherche est l'étude de Downing et al. (2001), dans laquelle ils ont utilisé l'IRMf pour attribuer une fonction à des régions cérébrales spécifiques

    • Il est prouvé que les régions du cortex visuel humain réagissent spécifiquement et sélectivement aux visages.
    • Downing et al. (2001) ont voulu savoir si cela était également vrai pour d'autres régions réagissant aux images du corps humain et pas seulement aux visages.
    • Ils ont découvert que les régions corticales du cerveau répondent effectivement de manière sélective aux images du corps humain, en particulier le cortex occipitotemporal latéral, et qu'il existe un système neuronal spécialisé dans la perception visuelle du corps humain.
    • Toutes ces découvertes ont été rendues possibles grâce à l'IRMf !

    De même, Haxby et al. (2001 ) ont étudié l'architecture de la voie visuelle de l'objet dans le cerveau à l'aide de l'IRMf.

    • Ils ont mesuré les schémas du cortex temporal ventral pendant que les sujets regardaient des visages, des chats, des images absurdes et des objets artificiels.
    • Ils ont trouvé des réponses distinctes pour chaque catégorie.
    • Dans l'ensemble, ils ont constaté que les représentations des visages et des objets dans le cortex temporal ventral étaient largement distribuées et se chevauchaient.
    • Ils ont identifié ces zones fonctionnelles grâce à l'IRMf.

    En utilisant cette technique de balayage du cerveau pour identifier les zones fonctionnelles potentielles, nous pouvons dire que certains comportements pourraient être dus à ces zones fonctionnelles. Nous pouvons supposer qu'une zone du cerveau qui "s'allume", pour ainsi dire, est en corrélation avec les actions et les comportements de l'individu, surtout si nous prenons soin, dans nos expériences, d'isoler des stimuli spécifiques.

    Ainsi, lorsqu'une personne est confrontée à des stimuli visuels effrayants et que certaines zones du cerveau s'activent, comme l'amygdale, nous pouvons voir que cette zone du cerveau est associée à une réponse particulière. L'amygdale est l'endroit où commence notre réaction de lutte ou de fuite. Avec des techniques comme celle-ci, nous pouvons le déterminer dans certaines situations et attribuer un comportement de lutte ou de fuite à l'amygdale !

    Évaluation par résonance magnétique fonctionnelle

    Quels sont les avantages de l'imagerie par résonance magnétique fonctionnelle ? Et ses faiblesses dans l'étude du cerveau ? Nous devons examiner les différents points forts et points faibles de l'IRMf.

    Avantages de l'imagerie par résonance magnétique fonctionnelle

    Tout d'abord, explorons les avantages de l'utilisation de l'imagerie par résonance magnétique fonctionnelle.

    • Non invasif : Une IRMf n'implique pas d'insérer quoi que ce soit dans le cerveau ou d'ouvrir la tête pour regarder le cerveau lui-même. Elle permet d'avoir une vue du cerveau et de ses activités sans techniques invasives.

    • Pratiquement aucun risque associé : Comme l'IRMf ne nécessite aucune des techniques invasives mentionnées ci-dessus, elle est déjà plus sûre que ces techniques. Elle n'utilise pas non plus de radiations, utilisées dans d'autres techniques de balayage du cerveau telles que le PET scan (tomographie par émission de positrons).

    • Elle illustre clairement la localisation : Les neuroimages montrent clairement les zones d'activité liées à l'activité du patient ou du participant et sont robustes dans les études qui se concentrent sur l'examen d'une fonction spécifique, en limitant les variables confondantes.

    • Aide à la préparation d'une intervention chirurgicale : Si un patient doit subir une intervention chirurgicale, l'IRMf est précieuse avant l'opération pour cartographier les zones nécessitant une attention particulière afin de mieux se préparer et de naviguer efficacement pendant l'opération.

    • Haute résolution spatiale : Elle fournit une image détaillée et est extrêmement précise.

    Inconvénients de l'imagerie par résonance magnétique fonctionnelle

    Examinons maintenant les inconvénients de l'utilisation de l'IRMf.

    • Coûteux : L'utilisation d'un appareil d'IRMf est assez coûteuse, tant au niveau de la formation que de l'appareil lui-même.

    • Immobilité requise : Un participant ou un patient doit rester immobile pendant qu'il scanne dans la machine, ce qui limite considérablement le type de recherche avec cette méthode. Ils ne peuvent pas bouger, réagir correctement ou effectuer des tâches qui nécessitent un mouvement, car cela compromettrait les résultats ou rendrait le balayage complètement impossible.

    • Leflux sanguin est difficile à interpréter : comme l'IRMf ne détecte que les changements dans le flux sanguin, elle ne peut que te dire si une zone est active ou non. Elle ne te dit pas pourquoi le neurone en question est activé, ni rien d'autre que les changements dans le flux sanguin. Le neurone lui-même peut être activé pour diverses raisons, avec différentes fonctions minuscules contrôlées par la fonction principale. Il est donc impossible de déterminer la cause et l'effet.

    • Certaines zones s'allument également pour des raisons multiples. Certaines zones du cerveau sont responsables de réactions qui peuvent être opposées, notamment lorsqu'il s'agit de réponses émotionnelles.

    • Faible résolution temporelle : Il y a un léger délai, généralement d'environ cinq secondes, avant que les changements dans le flux sanguin et les niveaux d'activité au sein d'un neurone ne soient détectés, c'est pourquoi l'IRMf a une faible résolution temporelle.


    Résonance magnétique fonctionnelle - Principaux enseignements

    • L'IRMf (imagerie par résonance magnétique fonctionnelle) est une technique de neuro-imagerie utilisée pour cartographier le cerveau.
    • Elle détecte les changements dans le flux sanguin qui se produisent lorsque le cerveau effectue une tâche et peut utiliser un champ magnétique pour créer une image en 3D du cerveau avec des zones d'activité mises en évidence.
    • L'hémoglobine est responsable du transport de l'oxygène vers les neurones du cerveau, qui ont besoin d'un flux sanguin accru pendant l'activité. L'IRMf détecte ces changements (signaldépendant du niveau d'oxygénation du sang ), et nous pouvons en déduire la fonction en fonction de l'augmentation de l'activation dans le cerveau.
    • L'IRMf n'est pas invasive, ne présente pratiquement aucun risque et possède une résolution spatiale élevée. Elle est d'une grande aide pour trouver des zones fonctionnelles localisées.
    • Cependant, elle a une faible résolution temporelle, est assez coûteuse et exige que le patient reste immobile pour obtenir une image précise. Cet aspect limite considérablement les types de recherche pour lesquels l'IRMf peut fournir des résultats.

    Références

    1. Fig. 1 : Machine IRMf par Thomas Angus, Imperial College London, CC BY-SA 4.0 https://creativecommons.org/licenses/by-sa/4.0, via Wikimedia Commons

    Questions fréquemment posées en Résonance Magnétique Fonctionnelle

    Qu'est-ce que la résonance magnétique fonctionnelle (RMF) ?
    La résonance magnétique fonctionnelle (RMF) est une technique de neuroimagerie qui mesure et localise l'activité cérébrale en détectant les changements de flux sanguin.
    Comment fonctionne la RMF en psychologie ?
    En psychologie, la RMF permet d'observer les régions du cerveau activées par des tâches cognitives, aidant ainsi à comprendre les bases neuronales des comportements et des processus mentaux.
    Pourquoi utilise-t-on la RMF ?
    La RMF est utilisée pour étudier la fonction cérébrale, diagnostiquer des troubles neurologiques et comprendre les bases neurobiologiques de la cognition et des émotions.
    Quels sont les avantages de la RMF ?
    Les avantages de la RMF incluent une haute résolution spatiale, une non-invasivité et la capacité à observer l'activité cérébrale en temps réel.
    Sauvegarder l'explication
    Teste tes connaissances avec des questions à choix multiples

    Lequel des énoncés suivants est correct ?

    L'IRMf a été introduite pour la première fois sur le site ____.

    L'IRMf produit des images ___ du cerveau.

    Suivant

    Comment tu t'assures que ton contenu est précis et digne de confiance ?

    Chez StudySmarter, tu as créé une plateforme d'apprentissage qui sert des millions d'étudiants. Rencontre les personnes qui travaillent dur pour fournir un contenu basé sur des faits et pour veiller à ce qu'il soit vérifié.

    Processus de création de contenu :
    Lily Hulatt Avatar
    Lily Hulatt

    Spécialiste du contenu numérique

    Lily Hulatt est une spécialiste du contenu numérique avec plus de trois ans d’expérience en stratégie de contenu et en conception de programmes. Elle a obtenu son doctorat en littérature anglaise à l’Université de Durham en 2022, a enseigné au Département d’études anglaises de l’Université de Durham, et a contribué à plusieurs publications. Lily se spécialise en littérature anglaise, langue anglaise, histoire et philosophie.

    Fais connaissance avec Lily
    Processus de contrôle de la qualité du contenu:
    Gabriel Freitas Avatar
    Gabriel Freitas

    Ingénieur en intelligence artificielle

    Gabriel Freitas est un ingénieur en intelligence artificielle possédant une solide expérience en développement logiciel, en algorithmes d’apprentissage automatique et en IA générative, notamment dans les applications des grands modèles de langage (LLM). Diplômé en génie électrique de l’Université de São Paulo, il poursuit actuellement une maîtrise en génie informatique à l’Université de Campinas, avec une spécialisation en apprentissage automatique. Gabriel a un solide bagage en ingénierie logicielle et a travaillé sur des projets impliquant la vision par ordinateur, l’IA embarquée et les applications LLM.

    Fais connaissance avec Gabriel
    Découvre des matériels d'apprentissage avec l'application gratuite StudySmarter
    Lance-toi dans tes études
    1

    À propos de StudySmarter

    StudySmarter est une entreprise de technologie éducative mondialement reconnue, offrant une plateforme d'apprentissage holistique conçue pour les étudiants de tous âges et de tous niveaux éducatifs. Notre plateforme fournit un soutien à l'apprentissage pour une large gamme de sujets, y compris les STEM, les sciences sociales et les langues, et aide également les étudiants à réussir divers tests et examens dans le monde entier, tels que le GCSE, le A Level, le SAT, l'ACT, l'Abitur, et plus encore. Nous proposons une bibliothèque étendue de matériels d'apprentissage, y compris des flashcards interactives, des solutions de manuels scolaires complètes et des explications détaillées. La technologie de pointe et les outils que nous fournissons aident les étudiants à créer leurs propres matériels d'apprentissage. Le contenu de StudySmarter est non seulement vérifié par des experts, mais également régulièrement mis à jour pour garantir l'exactitude et la pertinence.

    En savoir plus
    Équipe éditoriale StudySmarter

    Équipe enseignants Psychologie

    • Temps de lecture: 11 minutes
    • Vérifié par l'équipe éditoriale StudySmarter
    Sauvegarder l'explication Sauvegarder l'explication
    Sauvegarder l'explication
    Inscris-toi gratuitement

    Inscris-toi gratuitement et commence à réviser !